دولار أمريكي 3.64ريال
جنيه إسترليني 4.86ريال
يورو 4.23ريال

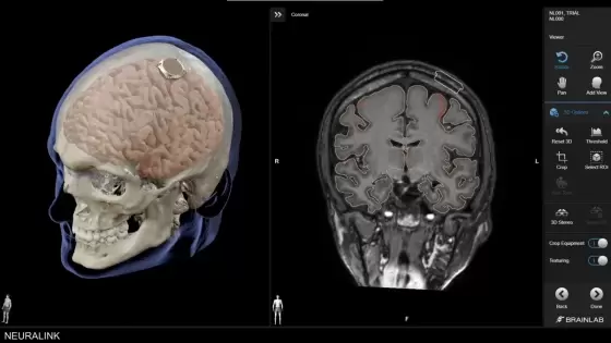
خضوع أول مريض من البشر لزراعة شريحة دماغية

كشفت شركة "نيورالينك" الناشئة عن تقنية ثورية حديثة، وهي خضوع أول مريض من البشر لزراعة شريحة دماغية انتجتها، وأن المريض يتعافى بشكل جيد ، والنتائج الأولية واعدة.

جميع الحقوق محفوظة لمرسال قطر 2025

atyaf company logo