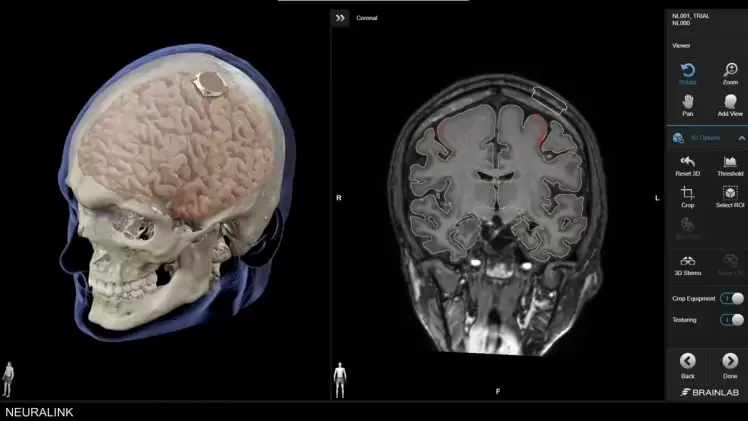
كشفت شركة "نيورالينك" الناشئة عن تقنية ثورية حديثة، وهي خضوع أول مريض من البشر لزراعة شريحة دماغية انتجتها، وأن المريض يتعافى بشكل جيد ، والنتائج الأولية واعدة.
وتهدف زراعة الشريحة الدماغية التي سيطلق عليها اسم (تيليباثي) إلى مساعدة الأشخاص المصابين بالشلل الرباعي في التحكم في الأجهزة بتفكيرهم.
ويصف المعهد الوطني للصحة الوطنية الأمريكية للخلايا العصبية بأنها خلايا تستخدم الإشارات الكهربائية والكيميائية لإرسال المعلومات عبر الدماغ وإلى الجسم.
وقال إيلون ماسك مؤسس الشركة في منشور له على منصة التواصل الاجتماعي إكس: "إن النتائج الأولية تظهر رصد زيادة الخلايا العصبية على نحو واعد، وتلك النتائج الأولية مطمئنة وواعدة.. مضيفا: "لقد أصبح المريض يتعافى بشكل جيد".
يذكر أن شركة نيورالينك حصلت على موافقة إدارة الغذاء والدواء الأمريكية لإجراء أول تجاربها البشرية في شهر مايو من العام الماضي، وقامت خلالها بتجنيد مرضى يعانون من الشلل الرباعي بسبب إصابة الحبل الشوكي العنقي أو التصلب الجانبي الضموري (ALS) للتجربة.
ويعد التصلب الضموري (ALS) حالة مرضية تصيب الجهاز العصبي وتؤثر في الخلايا العصبية في الدماغ والحبل النخاعي، ويسبب فقدان التحكم في العضلات.
